L’Europe fait peut-être face aux plus grandes épizooties à virus influenza aviaire hautement pathogène de son histoire. Des chercheurs de l’ENVT publient un article dans le journal Microbiology Spectrum.
Alors que le virus se répand dans les élevages et dans la faune sauvage, les signes cliniques observés suite à l’infection peuvent être radicalement différents. Certaines espèces développent notamment des troubles neurologiques, entraînant souvent la mort des animaux infectés.
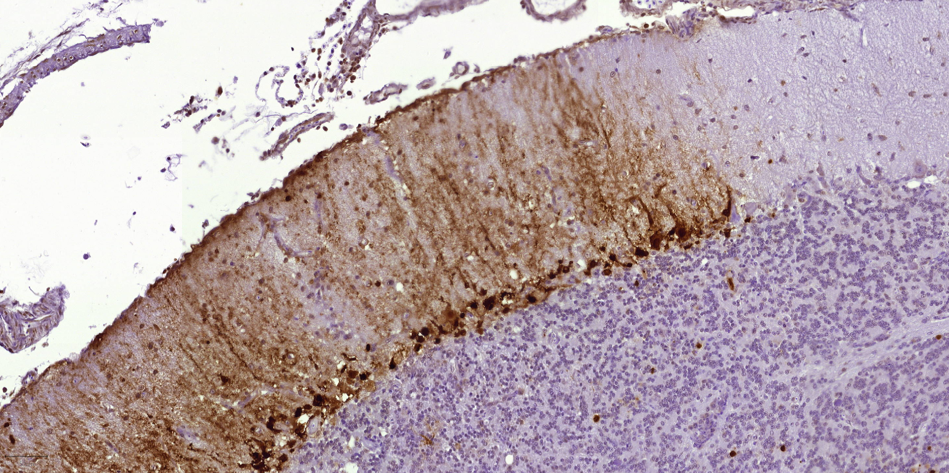
Nos chercheurs ont voulu comprendre pourquoi, en comparant deux espèces : les poulets (qui présentent plutôt une atteinte respiratoire) et les canards (qui présentent plutôt une atteinte neurologique). Pour la toute première fois au monde, des neurones de canard et de poulet ont été cultivés in vitro et infectés par un virus influenza aviaire hautement pathogène.
Voir l’intégralité de l’article
Voici les images de leurs recherches :
Images de cerveau de poulet et de canard observé au microscope, avec le virus marqué en marron.
Images de neurones de canard observés au microscope à fluorescence : on peut y voir le noyau (coloré en bleu), une protéine des neurones (colorée en orange) et le virus (coloré en vert).




